Rocklin Dentist

Dentistry Before and After Photos

before

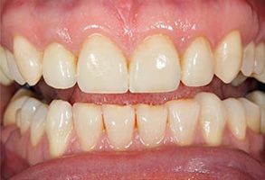
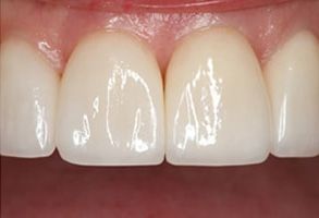
Before

Stanford Ranch Family Dentistry | Dental Cleanings, TMJ Disorders and Laser Dentistry

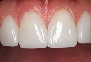
After

Stanford Ranch Family Dentistry | Invisalign reg , Laser Dentistry and Dental Cleanings

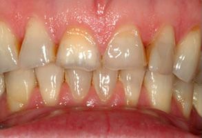
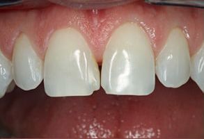
Before

Stanford Ranch Family Dentistry | Digital Impressions, Extractions and Oral Exams

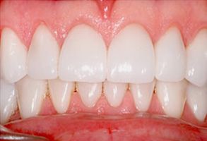
After

Stanford Ranch Family Dentistry | Teeth Whitening, Pediatric Dentistry and Ceramic Crowns

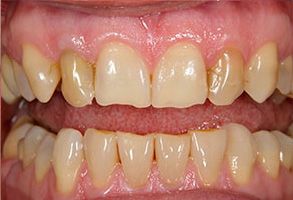
Before

Stanford Ranch Family Dentistry | Dental Bridges, Dental Fillings and Preventative Program

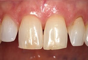
After

Stanford Ranch Family Dentistry | Pediatric Dentistry, Digital Radiography and Veneers

Before

Stanford Ranch Family Dentistry | Preventative Program, Cosmetic Dentistry and Ceramic Crowns

After

Stanford Ranch Family Dentistry | Dental Bridges, Cosmetic Dentistry and Dental Fillings

Before

Stanford Ranch Family Dentistry | Oral Exams, Sedation Dentistry and Teeth Whitening

After

Stanford Ranch Family Dentistry | Root Canals, Pediatric Dentistry and Sedation Dentistry

Before

Stanford Ranch Family Dentistry | Teeth Whitening, Sedation Dentistry and Invisalign reg

After

Stanford Ranch Family Dentistry | Teeth Whitening, Preventative Program and Dental Bridges

Before

Stanford Ranch Family Dentistry | TMJ Disorders, Root Canals and Extractions

After

Schedule a visit today!
Contact Us
Submit

Thank You!

We appreciate you taking the time to visit our site. We'll review your message and be in touch with you soon.

Continue
Cosmetic Dentist in Rocklin